Система автоматической диагностики для стоматологической клиники
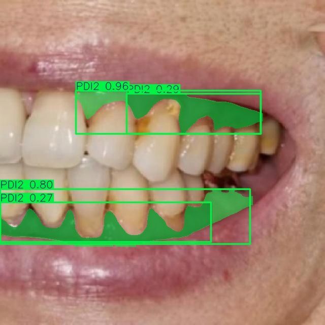
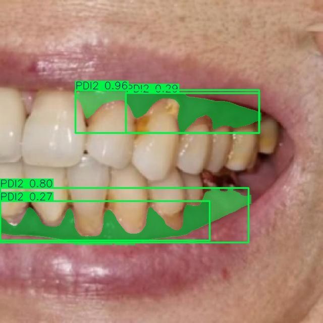
Мы проводим discovery-фазу для нашего клиента (стоматологическая клиника в Москве) и создали работающий прототип ИИ-сервиса, который автоматически сегментирует зубы и связанные патологии по 10 специализированным классам на стоматологических изображениях. Решение построено на Ultralytics YOLOv11-seg, обучено на пользовательском датасете и ускоряется на GPU (CUDA). Прототип уже демонстрирует корректную сегментацию и классификацию по классам кариеса, состояниям десен и показателям пародонта, что открывает путь к автоматизированной диагностике, системам поддержки клинических решений и оценке состояния зубов в реальном времени.
Контекст и бизнес-проблема
- Время врача на первичное описание снимков и составление плана лечения высоко, что ограничивает пропускную способность клиники.
- Требуется инструмент, который помогает стандартизировать оценку, сокращает рутинную нагрузку и повышает качество коммуникации с пациентом.
Цели discovery-фазы
- Подтвердить технологическую реализуемость (PoC) точной пользовательской сегментации зубов на клинических изображениях клиента.
- Настроить и обучить модель под 10 целевых классов, оценить устойчивость и качество сегментации.
- Сформировать прототип интеграции в клинический процесс (API) и определить ключевые продуктовые метрики на пилот.
- Специфицировать требования к данным, безопасности и последующей клинической валидации.
Что мы сделали
Достигли точной классификации по 10 различным категориям зубов:
Классы сегментации (10):
Достигли точной классификации по 10 различным категориям зубов:
Классы сегментации (10):
- Кариес: C1, C2, C3
- Состояние десен: G1
- Воспаление десен (гингивит): GI1, GI2, GI3
- Пародонтальные индексы: PDI1, PDI2, PDI3
Какие открываются возможности для вашей клиники ?
Автоматизированный скрининг: предварительная разметка и подсветка зон риска до осмотра врачом.
Поддержка решений: стандартизированное представление находок и индексов для планирования лечения.
Коммуникация с пациентом: наглядные маски/контуры повышают понимание и принятие плана лечения.
Оценка динамики: сравнение визитов, мониторинг прогрессирования или регресса состояний.
Операционная эффективность: сокращение времени на описание изображений, больше времени для клинических задач.
Автоматизированный скрининг: предварительная разметка и подсветка зон риска до осмотра врачом.
Поддержка решений: стандартизированное представление находок и индексов для планирования лечения.
Коммуникация с пациентом: наглядные маски/контуры повышают понимание и принятие плана лечения.
Оценка динамики: сравнение визитов, мониторинг прогрессирования или регресса состояний.
Операционная эффективность: сокращение времени на описание изображений, больше времени для клинических задач.
Что нужно для сотрудничества с нами ?
Как устроен процесс разработки и интеграции похожих решений
- Качество и репрезентативность данных: нужна разнообразная выборка (типы камер/снимков, возраст, клинические сценарии).
- Клиническая валидация: необходима оценка врачами-экспертами и согласованные протоколы.
Как устроен процесс разработки и интеграции похожих решений
- Проведение discovery и цель понять PoC (описанный выше этап): фиксация требований, план пилота, целевые KPI.
- Пилот (ограниченное внедрение): развертывание у клиента, сбор метрик качества и UX-обратной связи.
- Шкала/продукт: оптимизация по результатам пилота
- Расширение функций: объяснимость (heatmaps), автоматические отчёты для карты пациента, дополнительные классы/диагнозы при необходимости.(как пример)
